The
RESULTS

The Stories
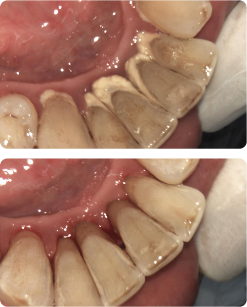
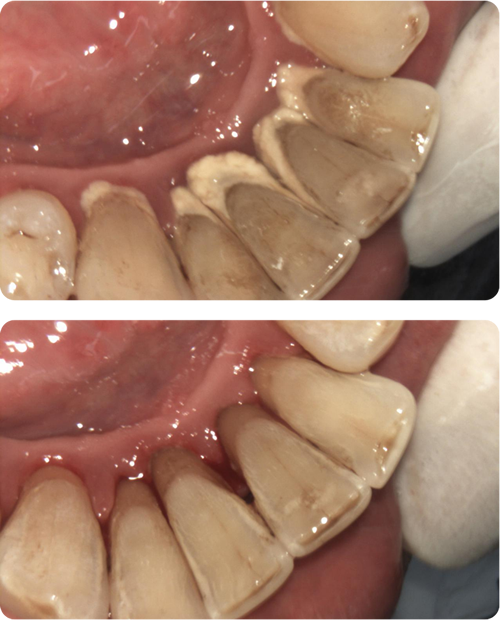
Dr. Kristanto Sempurno provides an explanation of oral health and the essential role of Dental Scaling in preventing gum disease.

dental scaling

Professional teeth cleaning procedure that removes plaque, tartar (calculus), and stains from the surfaces of your teeth especially below the gumline where your toothbrush can't reach.

THE TECHNOLOGY

Guided Biofilm Theraphy (GBT)
We use GBT technology for gentle stain removal during scaling leaving your teeth cleaner, brighter, and healthier without abrasion.

THE CHALLENGE

Usually, tough stains and buildup are hard to remove.
But at Neu, we clean them effectively with advanced technology.
Usually, delayed cleanings make things worse.
But at Neu, we handle it gently even for anxious or busy patients.
Usually, tartar leads to gum issues and bad breath.
But at Neu, we clean deeply to restore comfort and confidence.